Hemangioendotelioma renal:
a propósito de un caso
Renal hemangioendothelioma: a case report
Recibido: 12-07-2021
Aceptado: 25-03-2022
Publicado: 31-03-2022
Revista MetroCiencia
Volumen 30, Número 1, 2022
Editorial Hospital Metropolitano
Mayra Molina Herrera1, Edison Llamuca Naranjo2, Janeth Salazar Arias3, Duval Borja Menéndez4
El hemangioendotelioma se reporta como neoplasia vascular rara poco frecuente, con localizaciones habituales como hígado, piel y con menor frecuencia en bazo, riñón y pulmón. El hemangioendotelioma renal es un tumor extremadamente raro. Afecta principalmente independiente de género, a personas de mediana edad, entre los síntomas que suelen estar presentes son dolor en región lumbar y hematuria. El diagnóstico se establece mediante histopatología. Se indica como elección de tratamiento quirúrgico nefrectomía radical y radioterapia, hasta el momento no se ha descrito quimioterapia sistémica eficaz para enfermedad metastásica. En la actualidad la experiencia diagnóstica y terapéutica son limitadas en nuestro medio. Reportamos el caso de hemangioendotelioma renal de paciente masculino de 69 años, se realizó búsqueda exhaustiva de literatura se identificó pocos casos reportados de esta patología. Reportamos en caso de HE renal de un varón de 69 años que presentaba dolor abdominal principalmente, la urotomografía revelaron masa renal izquierda de 11,3 X 9,5 X 8,0cm con un volumen de 449,15cc. Se realizó nefrectomía radical más linfadenectomía para-aortica e intercavo-aortica. El diagnóstico se realizó con base en los hallazgos histológicos e inmunohistoquímicos, se efectuó seguimiento postquirúrgico a los 3 meses no se evidencio recidiva en lecho quirúrgico, con los resultados esperados en el presente estudio descriptivo a propósito de un caso se pretende contribuir a la casuística de nuestro país además de ser referente a nivel mundial en cuanto al reporte de hemangioendotelioma renal y el manejo tanto clínico como quirúrgico del mismo.
Palabra Claves: hemangioendotelioma renal, nefrectomía, inmunohistoquímica.
Hemangioendothelioma is reported as a rare vascular neoplasm, with usual locations such as liver, skin and less frequently in the spleen, kidney and lung. Renal hemangioendothelioma is an extremely rare tumor. It mainly affects middle-aged people regardless of gender, among the symptoms that are usually present are pain in the lumbar region and hematuria. The diagnosis is established by histopathology. Radical nephrectomy and radiotherapy are indicated as surgical treatment of choice; to date, no effective systemic chemotherapy has been described for metastatic disease. At present, diagnostic and therapeutic experience are limited in our environment. We report the case of renal hemangioendothelioma of a 69-year-old male patient, an exhaustive literature search was carried out, few reported cases of this pathology were identified. We report a case of renal HE in a 69-year-old man who presented mainly with abdominal pain. Urotomography revealed a left renal mass of 11.3 X 9.5 X 8.0 CM with a volume of 449.15 CC. Radical nephrectomy plus para-aortic and intercavo-aortic lymphadenectomy was performed. The diagnosis was made based on histological and immunohistochemical findings, postoperative follow-up was performed at 3 months, no recurrence was found in the surgical bed. The expected results with this descriptive study of a case are intended to contribute to the casuistry of our country as well as being a worldwide reference in terms of the report of renal hemangioendothelioma and its clinical and surgical management.
Keywords: renal hemangioendothelioma, nephrectomy, immunohistochemistry.
Mayra Molina Herrera
https://orcid.org/0000-0003-2671-9833
Edison Llamuca Naranjo
https://orcid.org/0000-0002-4229-2211
Janeth Salazar Arias
https://orcid.org/0000-0003-1510-0779
Duval Borja Menéndez
https://orcid.org/0000-0002-2068-1697
![]() |
Este artículo está bajo una licencia de Creative Commons de tipo Reconocimiento – No comercial – Sin obras derivadas 4.0 International. |
*Correspondencia: mayramol2790@gmail.com
El hemangioendotelioma se reporta como neoplasia vascular rara poco frecuente, con localizaciones habituales como hígado, piel y en menos frecuencia se han reportado casos de aparición en bazo, riñón y pulmón1–5.
El hemangioendotelioma renal es un tumor extremadamente raro especialmente para la variante epitelodie1,3, Karasavvidou et al.4 fueron los primeros en reportar esta entidad en una mujer de 54 años. Afecta principalmente, independiente de género, a personas de mediana edad, entre los síntomas que suelen estar presentes son dolor en región lumbar y hematuria2. El diagnóstico se establece mediante histopatología2.
Se indica como elección de tratamiento quirúrgico nefrectomía radical y radioterapia, hasta el momento no se ha descrito quimioterapia sistémica eficaz como tratamiento efectivo para enfermedad metástasica2,6. en la actualidad la experiencia diagnóstica y terapeútica son limitadas en nuestro medio. Reportamos el caso de hemangioendotelioma renal de paciente masculino de 69 años, se realizó búsqueda exhaustiva de literatura se identificó pocos casos reportados de esta patología.
Paciente masculino de 69 años, hipertenso, hipotiroideo, dislipidémico en tratamiento, sin antecedentes quirúrgicos previos de importancia. Acude con un cuadro de distensión abdominal, inapetencia, náuseas que llegan al vómito con pérdida de peso de 5kg aproximadamente en 2 meses (subjetivo de paciente). Al examen físico destaca punto ureteral superior izquierdo positivo y maniobra de Guyon izquierda positiva, exámenes de laboratorio dentro de parámetros de la normalidad, se solicita estudios de imagen tomografía abdominal y pélvica simple y contrastada donde se evidencia masa dependiente de riñón izquierdo en su tercio medio de 9,5cm de diámetro que distorsiona arquitectura de parénquima renal, centro degenerativo necrótico con componente mural periférico, adecuada definición aorto-cava, no liquido libre en cavidad abdominal, posterior al paso de contraste endovenoso masa quística compleja con extensa zona degenerativa necrótica, infiltra pirámides renales y se pierde diferenciación corticomedular, no infiltra sistema colector. Lesión alcanza a medir 11,3 X 9,5 X 8,0 cm con un volumen de 449,15 cc. Se evidencia coeficiente de atenuación de partes blandas en componente mural de 42 UH, rápido ascenso durante fase corticomedular hasta 63 UH, con rápido descenso en fase nefrogénica llegando a 54 UH con un patrón de curva tipo 3.
Se decide realizar abordaje quirúrgico mediante nefrectomía radical izquierda más linfadenectomía paraaórtica e intercavo-aortica mediante incisión tipo hemichevron izquierda, entre hallazgos quirúrgicos riñón izquierdo aumentado de tamaño de consistencia dura además de conglomerado ganglionar paracavo e intercavo-aórtico. Posterior a resección quirúrgica se colocó drenaje aspirativo tipo Jackson pratt.
Paciente con adecuada evolución quirúrgica, se retira dren y puntos cutáneos sin complicaciones. Se evidenció elevación de azoados postquirúrgicos con creatinina de hasta 2,1 mg/dl que se catalogó por parte de nefrología como enfermedad renal crónica reagudizada.
En estudio anatomo-patológico se reportó macroscópicamente (Figura 1) riñón resecado de 1460 g, mide 19x16x10 cm, al corte de pieza quirúrgica lesión de 10,5x8x14 cm, heterogénea, aspecto hemorrágico, con 80% de necrosis central localizada en polo inferior renal.
Figura 1. Masa de 10,5 x 8x 14 cm de aspecto hemorrágico en polo inferior renal.
Fuente: Servicio de Anatomía patológica- Hospital de Especialidades Carlos Andrade Marín.
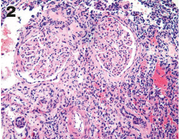
En la microscopía neoplasia con tendencia a formar papilas con focos de patrón sólido de células de núcleos con leve pleomorfismo, citoplasmas eosinofílico, escasas mitosis, además áreas que se disponen en patrón fusocelular y en canales vasculares. (Figura 2-6)
Figura 2-4. HE: Se puede observar el reemplazo del parénquima renal por la neoplasia vascular.
Fuente: Servicio de anatomía Patológica-Hospital de Especialidades Carlos Andrade Marín.
Inmunohistoquímica reporta CK7, CK20, CD10, RACEMASA, CD117, CK de alto peso, Ecadherina, Cromogranina, S100, CEA, EMA, HMB45 Negativos; KI67: 60%; vimentina positiva, CD34: positiva en células tumorales, factor VIII: positiva en células tumorales, actina de músculo liso: positiva en paredes de vasos y en algunas células tumorales. (Figura 7 y 8)
Figura 5-6. 5. HE: Canales vasculares neoplásicos y patrón papilar. 6. HE: Neoplasia vascular.
Fuente: Servicio de anatomía Patológica-Hospital de Especialidades Carlos Andrade Marín.
Figura 7-8. 7. CD34. 8. Factor VIII

Fuente: Servicio de anatomía Patológica-Hospital de Especialidades Carlos Andrade Marín.
Basados en los hallazgos histológicos e inmunohistoquímicos el diagnóstico fue de tumor vascular real de comportamiento maligno incierto con alto índice de proliferación nuclear (60%), compatible con Hemangioendotelioma de grado intermedio (limítrofe).
En examen imagenológico de control a 3 meses no se evidencia recidiva loco-regional en fosa renal izquierda.
Desde su descripción en 1982, los hemangioendoteliomas son tumores vasculares de comportamiento biológico intermedio con un alto potencial metastásico en especial la variante epiteloide, por su naturaleza agresiva se agrupa en la actualidad junto a los angiosarcomas (OMS)1,4,5,7,8.
Su aparición usual son tejidos blandos, aunque existe en la literatura reportes en múltiples sitios de la economía humana como por ejemplo pulmón e hígado que representan los órganos internos más comúnmente afectados, existe reportes limitados de casos a nivel renal, la literatura reporta hasta el 2019 solamente 4 casos de hemangioenditeliomas de variante epiteloide a nivel renal4,5,7,9,10.
Se ha reportado que del 20 al 30% de casos se ha observado metástasis5, casi el 13% de los pacientes con hemangioendotelioma de tejidos blandos desarrollan recurrencia, se ha descrito el rango de edad con mayor prevalencia entre la edad media y mayores, con amplia variedad de género1,4,5,9.
Entre los síntomas y signos destacados en la serie de casos reportados en la literatura resaltan dolor abdominal, sensación de masa en flanco además de dolor lumbar, inapetencia y hematuria micro o macroscópica, de manera excepcional Peters et al.3 reportan caquexia como signo cardinal1,3–6,9; en nuestro reporte de caso destacaron como síntomas principales, distensión abdominal además de inapetencia, se evidencia además de manera subjetiva la pérdida de peso por parte de paciente.
Para determinación de morfología renal, localización de masa renal, compromiso con órganos aledaños, y sobre todo para determinar plan quirúrgico se utiliza como herramienta de imagen urotomografía simple y contrastada.
Según las guías EAU 201911 en cuanto al tratamiento quirúrgico para masas renales, se establece que depende el tamaño determinado por exámenes de imagen para el abordaje quirúrgico y la técnica quirúrgica. Los determinantes para elección de abordaje quirúrgico son tamaño y localización de tumor HE5,12. En nuestro caso se determinó como opción quirúrgica la nefrectomía radical más linfadenectomía para-aortica e intercavo-aortica por abordaje anterior con incisión Hemichevron izquierda.
El diagnóstico definitivo de HE lo da el análisis de patología5, en las características patológicas principales se describe como un tumor maligno, angiocéntrico compuesto de cordones de células endoteliales, eosinofilicas redondeadas ligeramente onduladas y blandas incrustadas en matriz mixohialina, con vacuolas intracitoplasmáticas que contienen glóbulos rojos, asemejando lúmenes vasculares primitivos1,4,12,13. Se informa además presentaciones atípicas histológicas como por ejemplo: actividad mitótica marcada >1/10 campos de alta potencia, necrosis coagulativa, atipia nuclear marcada que pueden predecir un mayor potencial metastásico y recurrencia4,8,10.
La confirmación del diagnóstico y sobre todo la diferenciación de otras neoplasias renales lo realiza la inmunohistoquímica4, la expresión de CD31, CD34, FLI1 son características más confiable para el diagnóstico1,13,14. Se ha descrito además la expresión de antígenos epiteliales como CK de bajo peso, EMA13. La inmunotinción en nuestro caso fue positiva para vimentina, CD34: positiva en células tumorales, factor VIII: positiva en células tumorales, actina de músculo liso: positiva en paredes de vasos y en algunas células tumorales. Además se realizaron marcadores epiteliales como panqueratinas, antígeno epitelial de membrana, proteína S100, HMB45 que fueron negativas donde se descartó angiomiolipoma.
En la actualidad por la baja casuística reportada en cuanto a esta patología (HE), no hay una pauta de tratamiento establecido, Yuri Tolkach et al.6 en 2012 reportaron que Sunitinib podría ser un tratamiento efectivo para HE metastásico por su mecanismo de acción de inhibición de la vía de señalización de VEGFR-2, demostrando así la actividad antitumoral del medicamento a través de inhibición de proliferación y motilidad de células endoteliales a concentraciones farmacológicas establecidas15.
Con los resultados esperados en el presente estudio descriptivo, a propósito de un caso se pretende contribuir a la casuística de nuestro país además de ser referente a escala mundial en cuanto al reporte de hemangioendotelioma renal.
Conflicto de intereses
Los autores no presentan ningún conflicto de interés.
Cesión de derechos de reproducción
Los autores cedemos todos los derechos del presente manuscrito en caso de ser publicada por la revista MetroCiencia.
Declaración de artículo inédito
Este manuscrito original no ha sido publicado y no está bajo consideración para publicación en otra revista.
Aporte de autores
Mayra Molina: Concepción y diseño del trabajo. Mayra Molina y Janeth Salazar: Recolección y obtención de resultados. Mayra Molina, Edison Llamuca, Janeth Salazar y Duval Borja: Análisis e interpretación de datos, redacción del manuscrito. Edison Llamuca y Janeth Salazar: Revisión crítica del manuscrito. Mayra Molina, Edison Llamuca, Janeth Salazar y Duval Borja: Aprobación de su versión final.
CITAR ESTE ARTÍCULO:
Molina Herrera M, Llamuca Naranjo E, Salazar Arias J, Borja Menéndez D. Hemangioendotelioma renal: a propósito de un caso. Metro Ciencia [Internet]. 30 de marzo de 2022; 30(1):120-127. https://doi.org/10.47464/MetroCiencia/vol30/1/2022/120-127
MetroCiencia VOL. 30 Nº 1 (2022)